健康醫療

  hninfo-hl-but.png

  保健康 看健康資訊        |     健康飲食 (病食同源)

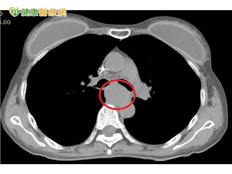
45歲女喝酒又抽菸 罹食道癌阻食道

抽菸喝酒對於健康的危害不可小覷!一名45歲女性,因工作緣故經常會喝酒抽菸,某次突然發現自己吞嚥困難,起初以為是喝烈酒灼傷喉嚨,後來卻連喝水都有困難,但她卻拖了三個月,因為胃痛掛急診時,進一步檢查而確診為罹患第四期食道癌。

食道癌阻塞食道 改採光子刀放射治療

臨床上,晚期發現的食道癌較少見,這名患者食道癌約2公分×10公分,佈滿食道的中上段,病理切片化驗確診為鱗狀上皮細胞癌;收治這名女子的澄清醫院中港院區放射腫瘤科主治醫師梁家郡指出,患者食道已完全阻塞,癌細胞雖無遠端轉移,但因局部侵犯到氣管,已無法開刀治療,只好採以光子刀放射治療,透過二十二次的光子刀放射治療,讓癌腫瘤萎縮後,再配合化療,目前患者食道癌已縮小二分之一,可免強嚥食喝水,維持生命養分。

食道癌初期無症狀 十大癌症第九位

根據衛福部統計,去年國人死於食道癌的人數為1797人,位居國內十大癌症死亡率第九位,主要因食道癌初期無症狀,除非腫瘤大小已經佔據食道管腔約一半左右,才會出現吞嚥困難症狀;梁家郡醫師指出,食道癌主要是因食道黏膜的鱗狀上皮細胞,被癌化病變而罹癌,男性發生率又高於女性,以60歲左右為高危險族群。

避免菸酒吃過燙 遠離食道癌上門

包括抽菸、喝酒、含亞硝胺之食物或吃過熱飲食等,都可能埋下致病因素,其中像是菸品,因含有致癌成分,當食道粘膜反覆受到刺激時,就容易罹患食道癌;梁家郡醫師呼籲,除了養成良好生活習慣外,平時應避免吃過燙食物,一旦有吞咽梗噎感、胸骨後疼痛、食道內異物感等症狀,應盡早就醫,及早發現就能及時介入治療,提高存活率。

降低肺癌併發症 術後復健4招維持心肺功能

台灣近年罹患肺癌患者有明顯增加的趨勢,肺癌已蟬聯10年十大癌症的死亡之冠。從肺癌類型當中,肺腺癌的比最高;而造成肺癌比例直線上升的因素,最大原因為空氣汙染(PM2.5)及吸菸等危險因子導致,根據世界衛生組織統計指出,全球每年約700萬人死於空氣汙染。

肺癌術後4種復健治療方式 助維持心肺功能

肺癌患者恐面臨肺葉切除手術,但手術潛藏風險除了肺功能損害外,術後傷口疼痛常導致患者畏懼呼吸及咳嗽,進而容易造成痰液累積、肺部塌陷及擴張不全等併發症,術後的復健衛教及治療勢在必行。衛生福利部南投醫院物理治療師王瓊敏提出常見4種復健治療方式,讓民眾能在家進行,增加心肺功能並降低手術後併發症的發生機率:

1、腹式呼吸

採輕鬆姿勢,用鼻子緩慢深呼吸,胸與上腹部向外擴張,再由嘴巴慢慢吐氣,胸與上腹部慢慢往內縮(吸氣3秒、吐氣6秒),每分鐘7至8次,每次10至20分鐘,每日2至3次,逐步增加訓練頻率。

2、呼吸道清潔

運用姿位引流、扣擊拍痰、咳嗽運動等可鬆動痰液並引流至較大氣管處,以利痰液排除,不至讓痰液滯留進而引發肺部感染。

3、上肢伸展訓練

可促進血液循環,幫助肺部擴張。雙手緊握彈力帶水平向外伸展,伸展同時由鼻腔慢慢將空氣吸入,直至完全伸展後再慢慢放鬆吐氣,雙手回到中線位置,每分鐘7至8次,每次10至20分鐘,每日2至3次,逐步增加訓練頻率。

4、心肺功能訓練

當患者體力許可,可利用跑步機、固定式腳踏車或登階運動等,訓練有氧心肺功能,進行每週3至5次,每次30分鐘,運動強度需達最大心跳(220減掉年齡)的60至80%(即中至高強度)有氧心肺功能訓練。

有家族病史者 自身也需篩檢追蹤

近年來罹患肺癌的年齡層逐漸下降,南投醫院院長洪弘昌表示,有家族病史者是罹患肺癌的高危險群,原因取決於環境、飲食、生活習慣等,而吸菸、二手菸、烹飪油煙、空氣汙染及曾罹患肺部疾病等皆是肺癌的危險因子。家中成員若罹患肺癌,其他家屬也需重視、定期至醫院請專業醫師安排相關篩檢及追蹤。(文章授權提供/優活健康網)

八十歲翁罹膽管癌 微波消融術救一命

一名80歲老翁,過去因罹患肝癌,反覆接受治療,所幸後續每三個月定期回診,控制良好,但今年五月經超音波檢查時,發現肝臟又長出新腫瘤,切片後竟是膽管癌;經醫師評估後,因考量患者體力狀況,決定採以新世代微波消融術取代傳統手術,術後患者恢復良好。

傳統手術風險高 微波消融術治療可取代

腫瘤因周圍佈滿許多血管,手術風險高,且容易引發肝衰竭等併發症;收治該名老翁的羅東博愛醫院胃腸肝膽科醫師江明峯指出,透過新世代微波消融術治療,僅使用單針,就將患者身上腫瘤含安全範圍共約4.5公分直徑成功燒融,手術僅花十分鐘左右,只留下患者身上約0.5公分的微創傷口,術後當天,患者已能自行下床走動。

利用微波產生熱能 直接加熱腫瘤細胞

江明峯醫師進一步說明,新世代微波消融術是利用微波原理產生熱能,並直接加熱腫瘤細胞,不會受血管限制影響治療效果,可精準控制治療範圍,降低傷害其他正常器官的機率,加上療程時間較短,也能減少患者體力消耗。

養成定期健檢 治癒率達90%

包括膽管癌及轉移性腫瘤,以及不適合傳統手術患者,都適合採以新世代微波消融術治療;羅東博愛醫院臨床副院長楊增慧指出,為了幫助更多肝腫瘤患者,院內也持續引進新的醫療方法,呼籲民眾應養成一年做一次健檢習慣,或接受超音波檢查,能有效提高治癒率達90%。

【健康醫療網】,天天關注您健康!

排尿困難併血尿 恐攝護腺肥大及泌尿道結石

一名59歲男性9年前因血尿及排尿困難就醫,檢查出多個膀胱結石及攝護腺肥大,僅接受內視鏡碎石術取出結石,不願手術治療護腺肥大。7年前膀胱結石再發生,只願接受藥物治療。今年初血尿及排尿不順就醫,檢查發現膀胱結石仍存在,且變多變大,右側輸尿管及兩側腎臟都有結石。經攝護腺肥大切除手術取出膀胱結石,右側輸尿管結石也自行排出,排尿逐漸順暢,再以體外震波碎石處理腎結石。

攝護腺肥大症狀 排尿困難、血尿

泌尿科醫師殷約翰表示,攝護腺肥大常見於年長男性,肥大的攝護腺壓迫輸尿管,長期會導致尿液經常無法排乾淨而形成膀胱結石,甚至造成輸尿管結石,當攝護腺肥大同時合併膀胱結石,倘未即時治療攝護腺肥大,膀胱結石很可能反覆發生。

攝護腺肥大與年齡、荷爾蒙、遺傳等有關,典型症狀包括排尿困難、血尿、頻尿、尿急、夜間排尿次數增加等,直接影響生活品質,嚴重會造成尿滯留、反覆產生泌尿系統結石,甚至腎水腫影響腎功能。

和併膀胱結石 應盡早切除根治

攝護腺肥大初期可用藥物治療緩解症狀,但當症狀已嚴重影響日常生活,或合併膀胱結石反覆發生,應儘早接受手術。常見手術方式有:傳統電刀(TURP)及汽化手術(綠光、紅光、鈥、銩等)。汽化手術是運用高能量雷射將攝護腺組織汽化,出血量較少,術後恢復快,住院天數約1至3天。

殷約翰醫師提醒,攝護腺肥大者若有膀胱結石,應儘早作攝護腺切除才能根治。未根本治療,長時間可能造成膀胱甚至腎臟損害。目前攝護腺肥大切除手術的方法安全,出血量少、住院天數短,術後恢復良好,不必諱疾忌醫,可與醫師討論,早期治療。(文章授權提供/優活健康網)

乳癌復發即時監控 精準抗癌新武器

乳癌是婦女癌症發生率第一名的癌症,據最新癌症登記年報指出,國內每年約有1萬1305名新增乳癌患者,乳癌已成為女性的隱形致命殺手,每年的定期篩檢與追蹤很重要,關注自身的健康也顯得格外重要,婦女千萬不要輕忽。

復發與轉移 是癌友最擔心害怕的事

前台大產房病房護理長張桂玲在2001年6月,摸到乳房有一個硬塊,就醫後被診斷為乳癌第三期,經過八個月治療,她重新回到護理崗位。2009年,張女士又再次面臨乳癌復發的嚴峻考驗,癌細胞已轉移到頭骨與腰部,被診斷為乳癌第四期復發,在治療過後控制情況良好,張女士再度返回職場服務人群,堅守護理的崗位。張女士表示,復發是所有癌友最擔心害怕的事,每次在等檢查等報告的心情,就像等期中考發考卷般,讓人忑忐不安,不知是否要重修還是會被當掉?

癌症基因檢測 隨時掌握身體狀況

走過癌症風暴,面對癌細胞復發轉移的風險,2018年3月,張桂玲女士接受NGS次世代基因定序-癌症基因檢測,以抽血20cc偵測體內腫瘤DNA,追蹤監控癌症復發的狀況。張女士表示,比較起影像檢查或是檢查生化腫瘤指數方式,這個新的監控方式簡單便捷很多,非侵入性,且敏感度及精準度也提升很多,達九成以上,可監控到腫瘤細胞細微的變化,完整瞭解到癌症控制情況,隨時知道自己身體現狀,真的讓我放心很多。

精準追蹤監控 提早發現腫瘤變異

在癌症術後追蹤工具中,傳統生化腫瘤指數檢測包括 CEA、CA153、CA125, 而墨爾本Peter MacCallum 癌症中心教授Sarah-Jane Dawson在2013年,則是針對30位乳癌患者在復發監控或轉移追蹤進行研究,結果顯示,監測血液中腫瘤DNA(ctDNA),較傳統CEA,CA153監測生化指數,能早半年時間發現異常。禾馨民權副院長外科醫師洪碩徽指出,根據臨床經驗,早期乳癌患者的生化腫瘤標記通常是正常,透過NGS癌症基因檢測來監控腫瘤DNA,有可能提早發現腫瘤變化;而中晚期患者能更早發現到異常,這對於治療中或轉移的病人很有幫助。

圖片

液態切片技術 癌症診治新利器

復發及轉移的不確定性,是許多癌友最擔心害怕的事,洪碩徽醫師指出,台灣新上市的非侵入性癌症基因檢測,採用先進的全基因體NGS平台,並運用液態切片專利新技術,只需20cc血液,即可分析腫瘤DNA,最多可達197個基因數,檢出率達九成以上,適用所有癌症,並能提供臨床上標靶藥物配對,找到最好的治療方案,14工作天即可取得紙本報告,全程台灣在地完成,目前與台灣各大醫療院所合作,提供此項自費檢測服務。

女性愛惜自己 定期進行篩檢及追蹤

洪碩徽醫師表示,乳癌發生率雖高,但治療效果愈來愈好,患者10年存活率可能高達七成。洪碩徽醫師也特別提醒,有高達1/3癌症與菸、酒、不健康飲食、缺乏身體活動及肥胖等因素有關,特別肥胖是最近全世界公認致癌之新興因子,呼籲所有的婦女,乳癌的預防從生活做起,一定要關注自身的健康, 45歲以上婦女,應每2年做一次乳房攝影;有乳癌家族病史者,提前到40歲。另外,乳房觸摸到腫塊或乳頭有分泌物,一定要馬上就診,及早進行治療與預防照護。更多癌症基因檢測服務,禾馨醫療提供精準醫療門診諮詢服務。

【健康醫療網】,天天關注您健康!

骨骼肌肉超音波 幫助診斷類風溼性關節炎

近年來,民眾對於類風溼性關節炎的認知,經由媒體衛教及網路資訊傳播已漸漸提高,但要確診卻沒有那麼容易。拜醫療科技進步之賜,類風溼性關節炎已可經由骨骼肌肉超音波診斷,和傳統X光影像不同之處,在於骨骼肌肉超音波能提供關節滑膜、肌腱、韌帶、肌肉和骨頭表面的影像,同時可以就受試者的運動情況做動態的評估,進一步了解關節發炎的程度。

骨骼肌肉超音波 早期診斷追蹤治療

臺北市立聯合醫院和平婦幼院區過敏免疫風濕科主治醫師蔡明學說,骨骼肌肉超音波在類風濕性關節炎的應用,最主要有:

1. 早期診斷:在偵測早期類風濕性關節炎方面上,超音波比臨床檢查更敏感。

2. 疾病監測:藉由超音波影像學上的變化,可以追蹤類風濕性關節炎活性和對治療後的反應。

3. 預後評估:在疾病早期若偵測到骨侵蝕代表預後不佳,使臨床醫師早期且積極地使用疾病修飾抗風濕藥物治療類風濕性關節炎。

4. 介入性治療:關節液抽吸和關節內注射是診斷和治療類風濕性關節炎的實作項目。

即時動態影像 準確定位病灶

蔡明學醫師指出,傳統診斷類風濕性關節炎的方法是利用觸診的方式,找出體表骨骼作為定位標的,進行關節液抽吸和關節內注射,但常規觸診有困難的關節或是較小的關節,利用這種方法容易造成診斷和治療失敗。使用超音波導引,透過即時動態影像,可以準確定位病灶位置,增加診斷和治療的成功機率。

蔡明學表示,骨骼肌肉超音波有許多優點,包括具有可近性、無輻射性、費用相對便宜,且能動態追蹤疾病變化,具有早期診斷、評估疾病活性和追蹤治療反應的有效工具。隨著骨骼肌肉超音波與類風濕性關節炎相關研究持續發表,以及臨床醫師孰悉度不斷提升,將來骨骼肌肉超音波很可能成為類風濕性關節炎診斷及治療準則的一部分。

【健康醫療網】,天天關注您健康!

孕媽咪荷爾蒙變化影響心理 配偶支持鼓勵很重要

懷胎十月對女性而言是個神奇又美妙的生命體驗,但同時也存在著不少挑戰。身體荷爾蒙的變化使得孕媽咪在懷孕期間會出現一些不適症狀,像是:孕吐、頻尿、腰酸背痛等症狀,而身體上的不舒服也間接影響了心理層面。

吳俐瑩心理師表示,懷孕期間的情緒變化歷程大致可分為3個階段:第1期(1~3個月)、第2期(4~6個月)以及第3期(7~9個月)。第1期(1~3個月)孕媽咪會感受到較多的身體不適,而不太能感受到孩子帶來的生命力與喜悅,再加上擔心胎兒未穩定的心理壓力。種種的身心不適都讓孕媽咪十分不安、手足無措,此階段懷孕的喜悅與憂慮並存且處於矛盾的狀態。 懷孕第1期(1~3個月)  配偶可擔任傾聽的角色

然而,在充滿不確定性的第1期(1~3個月)配偶的支持與鼓勵就顯得格外重要,吳俐瑩心理師表示,在第1期配偶應擔任傾聽的角色,分擔太太過多的情緒壓力,並在太太感到壓力大時,溫和並理性客觀的回應,也可幫忙收集及過濾懷孕、育兒的相關資料,建議資料是來自於有專業背景的醫師、心理師,或是由專業人士所撰寫的書籍,避免讓錯誤資訊影響孕媽咪的心情。中後期(4~9個月)是胎兒較穩定的時期,統計平均值3個月後孕媽咪的孕吐反應會減少,身體也較能適應懷孕的狀態,通常是媽媽們覺得較愉快的時期,也是夫妻倆可以開始討論教養觀念及日後育兒生活的好時機,若想散心旅遊也會建議安排在中後期。

警覺情緒紅燈 適時向外求援

情緒的轉變雖是懷孕必經的過程,但要注意若是出現過於敏感、焦慮、情緒化、憂鬱甚至嚴重影響日常生活作息時,就要警覺是否情緒已亮起紅燈,需要向外求援而非獨自壓抑承受,可先與配偶或家人朋友聊聊,若是無法解決則建議尋求客觀的專業人士(例如:心理諮商、醫療院所衛教中心等資源管道)。懷孕過程中找到適合的紓壓管道是相當重要的,例如:可參加孕婦瑜珈課程,從中獲得關於懷孕、生產、產後的一些實用資訊,一同上課的孕媽咪們扮演相同的角色較能同理彼此,相互分享與交流心情進而能成為支持的力量。

懷孕前 跟配偶要有充足的溝通與討論

如果孕媽咪或配偶、家人不夠了解懷孕必經的情緒轉換過程,可能在懷孕過程中產生不避要的誤會,或是過多的心理壓力。吳俐瑩心理師建議,在懷孕前跟配偶若能有充足的溝通與討論,並且以取得共識為目標,如此一來夫妻倆對於懷孕才會有預備心理。另外,夫妻雙方要意識到之後可能會出現的改變,尤其媽媽在身體與心理的界線會因為孩子而改變,務必要先了解正確的懷孕相關資訊,再依循這些資訊去做相對應的調整跟選擇。(文章授權提供/優活健康網)

中西醫雙管齊下 花慈輕安居客製化守護健康

「除了照護之外,我們希望能讓阿公阿嬤們更健康!」花蓮慈濟醫院整合中醫與西醫特性雙管齊下,提供輕安居中醫特別門診,守護輕安居長者們的健康。考量到輕安居長者可能有些退化方面的問題,所以,花蓮慈院中醫師直接來到輕安居「到府駐診」。

輕安居特別門診「到府駐診」

花蓮慈院高齡精神科主任蔡欣記醫師表示,許多長者阿公阿嬤因為年紀大了,或多或少都有些失智或失能的狀況,在輕安居裡面除了有專業的醫師與護理人員進行照護,同時也會安排身體、心理、認知功能與生活功能等復健,這次結合中醫專長,中西醫合療共同在認知功能、退化的環節,甚至是認知功能的促進來幫助。但如果讓阿公阿嬤們直接走去門診區就診,陌生的環境與人員可能會造成額外風險,所以,很感謝中醫部的主動配合,來到輕安居進行特別門診。

年紀大的長者們最常遇到的問題,包含有睡眠障礙、頭暈倦怠、記憶減退、便秘腹脹、緊張焦慮、反應遲緩等問題。花蓮慈院中醫師陳怡真表示,中醫可以透過針灸、推拿、拔罐、中藥與氣功、活動教學來治療。

中醫針灸加強氣血循環開竅醒腦

「針灸完整個人都比較舒服,還有很精神。」體驗過好幾次針灸治療的陳阿嬤開心的分享,之前自己常常睡不好,躺著睡不著、坐著也睡不著,針完之後回家晚上睡得很好,隔天來輕安居都很有精神。

另外,針對失智的部分,陳怡真醫師表示,從中醫角度來看,長者常見的問題大多歸類於退化或身體虛損的狀況,在治療上可以對症治療補強,例如在評估長者身體狀況之後,頭針對部或患部給予針灸,或運用動氣療法,加強氣血循環開竅醒腦。

針對不同狀況進行一對一照護

為了確實掌握長者們的身體狀況,花蓮慈院醫護人員在每次特別門診之前,都會重新進行當天的身體與心理評估,就是希望能針對每個長者不同的狀況進行治療,同時也讓家屬能夠安心。

花蓮慈院輕安居中醫特別門診,讓長者在熟悉的環境下,由專業的中醫師與護理人員一對一的照護,從心理到身體上都確保長者的安全,中、西醫整合的多元客製化治療,只為了能更好守護長者們的健康。


health
使用>> 搜尋<< 輸入關鍵字 或 按以下:
飲食 | 嬰兒兒童 | 女性 | 老人 | 男性
心臟 |  三高  | 食物 |  肝腎  |  高血壓 | 血脂
腸胃炎 |  牙齒 牙病 牙周病 | 骨質疏鬆
肥胖 |  皮膚病  |  乳癌  | 癌症 |  過敏  | 眼睛
 睡眠 |  壓力 | 更年期 |  感冒 |  咳嗽 |  熱氣