牙病拖延治療 恐影響咀嚼功能及美觀

 
健康醫療網/記者李義輝報導 2014/07/09

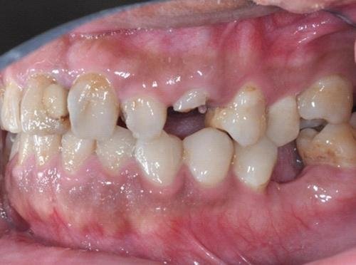
一位32歲男子近年來飽受牙痛問題,但卻一直沒有接受治療,最近到大醫院就診,透過環口X光及口腔檢查之後,發現有多項牙齒問題,包括齒列擁擠、缺牙、牙傾倒、對咬牙過度萌出、深部齲齒、牙周炎、齒髓炎等,已經影響患者咀嚼功能及美觀。

收治這位男子的台南市立醫院牙科部張閔傑醫師指出,由於患者的牙齒問題多且複雜,牙科團隊第一階段先進行齲齒填補、牙周病控制、以及裂齒拔除;第二階段透過矯正,將過深齲齒拉出、扶正傾倒的後牙、騰出足夠空間,製作臨時牙冠,進行永久義齒的製作,讓患者慢慢恢復牙齒健康美觀。

張閔傑醫師表示,一旦缺牙過久,會使周圍臨近的牙齒朝向缺牙區域傾倒,將導致製作假牙時,需修磨較多的牙齒結構,也可能會傷及牙髓組織;此外,對咬牙朝向缺牙區域移動,將導致咬合干擾,遇到牙齦下齲齒過深無法製作假牙、牙齒外傷斷裂等,可透過矯正將牙齒拉出,伴隨牙周手術,才得以進行義齒製作。

由於患者同時有牙周病的困擾,牙周病常伴隨牙齒擁擠導致清潔不易,加速牙周惡化,因此,接受牙周照護的同時,搭配矯正治療將齒列排列整齊,可使患者更易維持口腔衛生,並維持牙周健康。矯正醫師曾上純指出,近年來植牙盛行,透過矯正治療一同進行,可幫助無法修復的牙齒進行移動,得到較多骨頭,改善後續植牙治療所需條件,最後再把這些無法修復的牙齒予以拔除,才可達成植牙最佳效果。

 


health
使用>> 搜尋<< 輸入關鍵字 或 按以下:
飲食 | 嬰兒兒童 | 女性 | 老人 | 男性
心臟 |  三高  | 食物 |  肝腎  |  高血壓 | 血脂
腸胃炎 |  牙齒 牙病 牙周病 | 骨質疏鬆
肥胖 |  皮膚病  |  乳癌  | 癌症 |  過敏  | 眼睛
 睡眠 |  壓力 | 更年期 |  感冒 |  咳嗽 |  熱氣